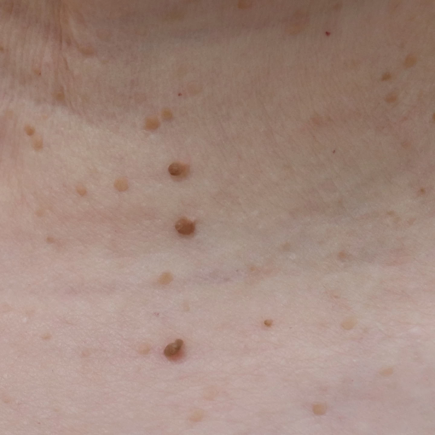
治療前


プラズマペンSPOTLESS は、レーザーとは異なる原理のプラズマ技術を利用して、肌の悩み(くびのイボ、顔の稗粒腫、老人性血管腫など)をピンポイントで除去・改善する医療美容機器です。主な特徴とポイントは以下の通りです。
プラズマエネルギーの傷を治癒する能力の発見は、美容分野に新しいトレンドであるプラズマペントリートメントを生み出しました。
スポットレスは、プラズマエネルギーを利用してさまざまな肌の悩みを治療する多目的プラズマペンです。
スポットレスの先端が人体などの導体に近づくと、高周波プラズマアークエネルギーが放出されます。このプラズマエネルギーは表皮細胞を蒸発させ、皮膚の治癒を促進します。
ペン先から高周波プラズマアークエネルギーを放出し、皮膚細胞を蒸発させて治療します。皮膚に直接触れないため、傷跡や出血がほとんどなく、ダメージが最小限に抑えられます。
1回の治療で効果を実感しやすく、特に小範囲のイボ除去に適しています。治癒力も高く、回復が早いのが特徴です。
韓国NeoGenesis社製で、CE認証取得済み。日本国内でも多くの医療機関で導入されています。
治療後の赤みは数日残ることがありますが、色素沈着や傷跡はほとんど気にならないという報告もあります。
おおむね3ミリ以内の小さいイボがくびに多発している方。
保険診療の液体窒素での治療とくらべて
ということがメリットです。
大きなイボの治療には不向きです。
❶ お肌のお悩みを伺い、診察の上施術可能な部位を決定します。
❷ 治療部位を冷却または麻酔クリームで痛みを感じにくくします。
❸ プラズマペンで非接触照射します。
❹ 綿棒などで拭き取り、状態を確認します。
❺ 必要に応じて保護パッチを貼付します。
治療回数:1回
治療にかかった費用:5,170円(初診料 1,100円+ 麻酔料1,100円+処置料 2,970円)


| 初・再診料 | 1,100円 |
|---|---|
| 麻酔クリーム | 1,100円(両耳より前方のくびに塗った場合) |
| 1~10個まで | 1個につき990円 |
|---|---|
| 11~20個まで | 1個につき880円 |
| 21~30個まで | 1個につき770円 |
| 31~40個まで | 1個につき660円 |
| 51個~ | 1個につき550円 |
(例)15個の場合 初・再診料 1,100円+9,900円(990×10)+4,400円(880×5)+ 麻酔クリーム 1,100円 = 16,500円