くびのイボ治療
SPOTLESS マルチパーパス・ファイブロブラスト・プラズマペン
SPOTLESS マルチパーパス・ファイブロブラスト・プラズマペン

プラズマペンSPOTLESSとは
プラズマペンSPOTLESSで期待できる効果
プラズマエネルギーの傷を治癒する能力の発見は、美容分野に新しいトレンドであるプラズマペントリートメントを生み出しました。
スポットレスは、プラズマエネルギーを利用してさまざまな肌の悩みを治療する多目的プラズマペンです。
スポットレスの先端が人体などの導体に近づくと、高周波プラズマアークエネルギーが放出されます。このプラズマエネルギーは表皮細胞を蒸発させ、皮膚の治癒を促進します。
非接触・非外科的:ペン先から高周波プラズマアークエネルギーを放出し、皮膚細胞を蒸発させて治療します。皮膚に直接触れないため、傷跡や出血がほとんどなく、ダメージが最小限に抑えられます。
即時かつ高い効果:1回の治療で効果を実感しやすく、特に小範囲のイボ除去に適しています。治癒力も高く、回復が早いのが特徴です。
安全性と信頼性:韓国NeoGenesis社製で、CE認証取得済み。日本国内でも多くの医療機関で導入されています。
ダウンタイムが短い:治療後の赤みは数日残ることがありますが、色素沈着や傷跡はほとんど気にならないという報告もあります。
プラズマペンSPOTLESSをオススメする方
おおむね3ミリ以内の小さいイボがくびに多発している方。
保険診療の液体窒素での治療とくらべて
1回の通院で治療が終わる(多発イボの場合、液体窒素では何回も通院が必要)
きれいに仕上がる(液体窒素で必発の色素沈着が少ない)
痛みが少ない
回復が早い、ダウンタイムが短い
ということがメリットです。
大きなイボの治療には不向きです。
施術の流れ
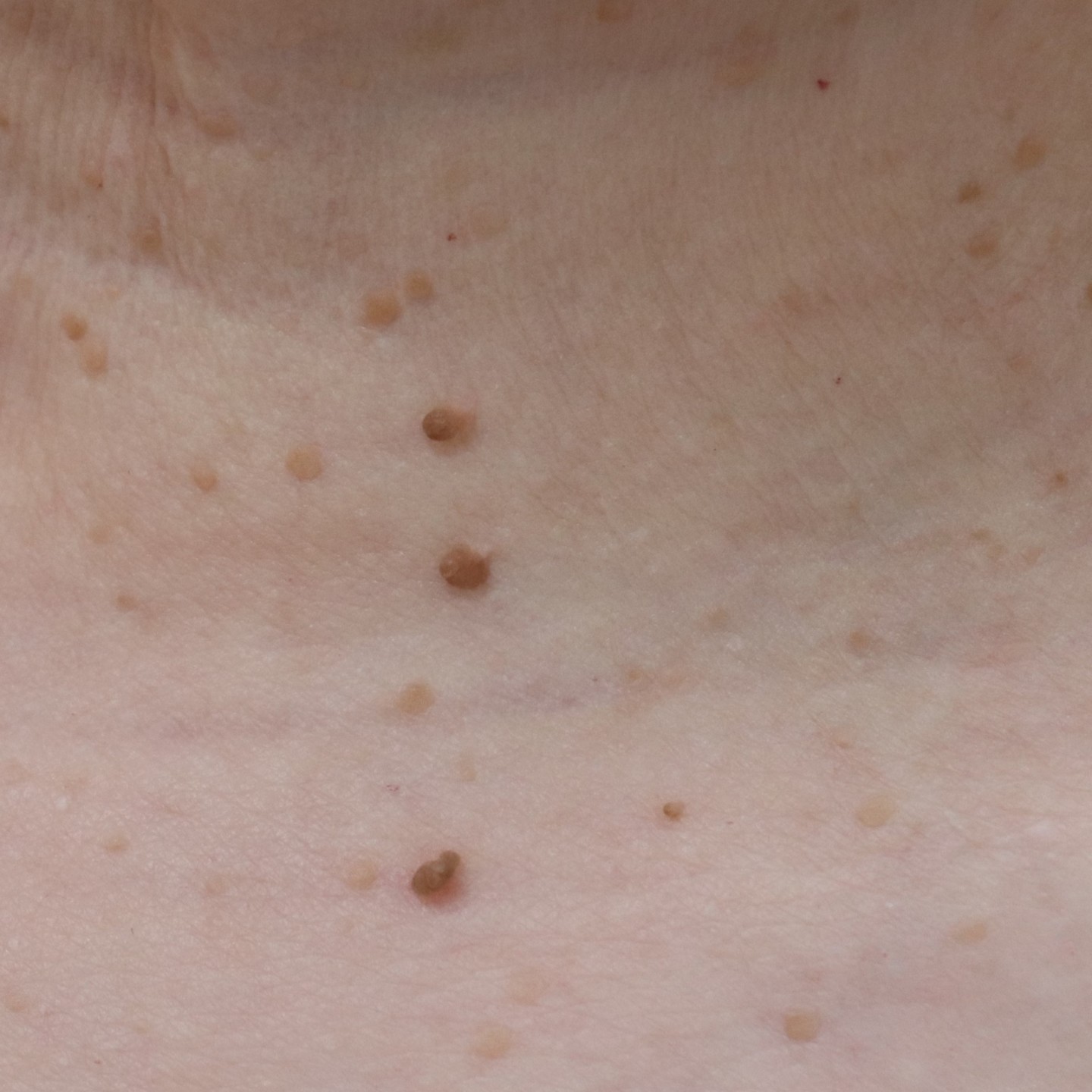
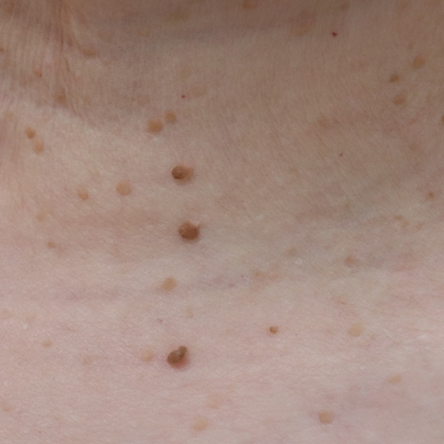
症例写真
CASE
モニターさんの治療経過です。
(※ご許可をいただき、掲載しております。)
治療にかかった費用:5,170円(初診料 1,100円+ 麻酔料1,100円+処置料 2,970円)

治療後

料金
初・再診料 |
---|
1,100円 |
麻酔クリーム |
1,100円(両耳より前方のくびに塗った場合) |
施術料 |
1~10個まで 1個につき990円 |
11~20個まで 1個につき880円 |
21~30個まで 1個につき770円 |
31~40個まで 1個につき660円 |
51個~ 1個につき550円 |
|
(例)15個の場合 初・再診料 1,100円+9,900円(990×10)+4,400円(880×5)+ 麻酔クリーム 1,100円 = 16,500円 |